Lečenje akni i uklanjanje ožiljaka od akni

KAKO I ZAŠTO NASTAJU OŽILJCI OD AKNI?

Koža lica, vrata, grudi i leđa je pokrivena mrežom hiljada folikula koje nazivamo PORAMA.

Pore proizvode ćelije koje, ukoliko je njihova proizvodnja uvećana, uzrokuju blokiranje kanala usled čega masnoća i mrtve ćelije izbijaju na površinu kožešto dalje uzrokuje crvenilo i otok a potom i razvoj bakterija i gnoja. Tako nastaju same AKNE.

ŠTA SU I KAKO NASTAJU OŽILJCI OD AKNI?

Ožiljci od akni su rezultat upala kada se pore pune gnojem, nadimaju se i dolazi do oštećenja zida folikula.

Kada su oštećenaj plitka i manja lakše zarastaju što nije slučaj kada je pora znatno produbljena.

Nestručno ceđenje bubuljica i akni može dovesti do upala i oštećenje kožnog tkiva i i njegove smanjenje otpornosti na upalni proces te kao i bilo koja rana ostaviti trajan trag na izgled i zdravlje same kože rezultirajući oštećenjem odbrambene barijere, neujednačenim i hrapavim tenom.

Koža u procesu oporavka pokušava da formira i proizvede novu kolagensku mrežu u vidu vlakana koji nisu tako glatki kao zdarva koža te u zavisnosti od količine kolageneze nastaju veći ili manji ožiljci.

Ukoliko je povećanja proizvodnja i sinteza kolagena imaćemo grubu i zadebljalu kožu često praćenu crvenkastim ili smeđim flekama.

Laserska terapija aktivnih akni i ožiljaka od akni

Kod smanjene kolageneze se javljaju veće ili manje rupice na površini kože i u njenoj strukturi što je češća pojava.

Rošavo lice je više estetski problem nego medicinski i kod njega su rupice gusto zbijene te grade neravnu površinu kože.

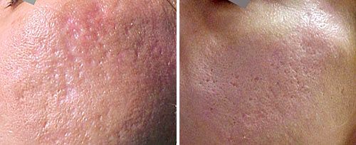
KAKVI SVE TIPOVI OŽILJAKA OD AKNI POSTOJE PREMA IZGLEDU?

Ožiljci od akni na koži lica negativno utiču na samopouzdanje kod osoba koje ih imaju naročito kada se radi o ožiljcima koji su jako urezani i vidljivi su golim okom.

1. ATROFIČNI OŽILJCI – Atrofični ili vidljivi ožiljci su smešteni ispod površine kože i nastaju usled smanjene proizvodnje kolagena u trenutku kada rana od akne zaceljuje.

Imaju tri oblika:

a. Ožiljci karakrerističnih oštrih ivica koji mogu biti plitki ili pak dublje urezani u kožu
b. Uski ali duboki ožiljci, u obliku slova V, teški za uklanjanje
c. Zaobljeni ožiljci koji po obliku i strukturi nisu duboki i definisani a rezultiraju hrapavim izgledom kože

2. HIPERTROFIČNI OŽILJCI – Takozvani podignuti ožiljci koji nastaju prekomernom kolagenezom iliti lučenjem kolagena kada rana od akne zarasta i nalaze se iznad okolne kože
3. KELOIDNI OŽILJCI – Nastaju pojačanjim bujanjem tkiva nakon zarastanja rane od akni i prelaze samu ivicu rane
4. TAMNE MRLJE – Nastaju u ravni kože sa promenom boje usled zapaljenja. Fleke od akni i bubuljica su najčešće crvenkaste i smeđe nijanse i nazivaju se postimflamatorna hiperpigmentacija.

DA LI HORMONI UTIČU NA NASTANAK AKNI?

Akne su po prirodi nastanka najčešće uzrokovane hormonima odnosno njihovim disbalansom.

Hormoni su odgovorni za rad žlezda i njihovo lučenje gde usled hormonskog disbalansa dolazi do poremećaja rada lojnih žlezda koje usled pojačanog lučenja sebuma uzrokuju pojavu i sam nastanak akni.

Testosteron u većoj koncentraciji ili količini, kod oba pola, može dovesti do pojave akni a samim tim i posledično do pojave ožiljaka.

ŠTA SU HORMONSKE AKNE?

Površinski sloj kože kod akni je najugroženiji jer trpi traumu zapaljenskog procesa.

Kod žena, akne i bubuljice mogu biti izazvane većim lučenjem progesterona u toku menstrualnog ciklusa, trudnoće, ali u manjoj meri i tokom menopauze i tada ih nazivamo hormonske akne.

DA LI I KAKO ISHRANA, STIL ŽIVOTA I STRES UTIČU NA NASTANAK AKNI I OŽILJAKA OD AKNI?

Nastanak akni i ožilajka od akni su posledično uzrokovani neadekvatnom ishranom sa disbalansom vitamina i minerala i povećanim glikemijskim unosom.

Uključivanje raznovrsnog voća i povrća prema individualnim personalizovanim potrebama pacijenta, zatim omega 3 masnih kiselina i potrebnih minerala će osim poboljšanja opšteg kvaliteta života blagotvorno uticati na regulaciju težine a samim tim i sprečavanje ili ublažavanje problema.

Ishrana sa niskim glikemijskim indeksom može znatno uticati na poboljšanje stanja.

Savremeni i ubrzan tempo života, neredovna ishrana bogata mastima i ugljenim hidratima, loš san i stres kao i nedovoljna fizička aktivnost utiču nepovoljno na opšte stanje organizma a samim tim i na slabljenje funkcija barijera i odbrambenog sistema kože, kao našeg najvećeg organa, u borbi protiv upala i nastanka ožiljaka pošto se narušava rad endokrinog sistema u smislu poremećaja lučenja hormona.

AKNE I OŽILJCI OD AKNI NA LEĐIMA

Akne na leđima nastaju od hormonskog disbalansa, pojačanog lučenja sebuma, preteranog znojenja, irtacije od odeće, ranca i sl.

Ožiljci nastaju ukoliko dođe do infekcije, pucanja ili mehaničkog ceđenja. Osim uobičajenih saveta, preporučuje se i češće tušitranje.

KAKO SE LEČE AKNE I OŽILJCI OD AKNI?

Prvi korak u lečenju akni i ožiljaka od akni je specijalistički pregled dermatologa koji će vam, ukoliko je potrebno, odrediti i prepisati adekvatnu terapiju.

Svakako će vas uputiti u kućnu negu i koje kreme, losione ili preparate savetuje da koristite u svakodnevnoj nezi.

Takođe, preporučiće vam ukoliko je potrebno i tretmane laserom kao najučinkovitiju i najsavremeniju alatku u borbi protiv ovog problema.

Medicinski kozmetolog će takođe uz stručne savete odrediti i tip tretmana za rešavanje problema aknozne kože.

ŠTA JE LASERSKA TERAPIJA AKTVNIH AKNI I OŽILJAKA OD AKNI FOTONA LASEROM?

Laserska terapija aktivnih akni i ožiljaka od akni Fotona laserom nudi laserski protokol za lečenje akni koji pruža sveobuhvatno rešenje problema.

FOTONINA precizno kontrolisano Nd:IAG lasersko svetlo bezbedno prodire u kožu kako bi efikasno ciljalo prekomerno aktivirane lojne žlezde i smanjilo rizik od nastanka novih upala i akni.

Za poboljšanje izgleda ožiljaka od akni FOTONA nudi komplementarni laserski tretman zasnovan na preciznoj i nežnoj proceduri obnavljanja kože u kojoj se Er:IAG laserski zrak apsorbuje u gornji mikrosloj kože kako bi neutralisao ožiljno tkivo i stimulisao proizvodnju novog kolagena u samom dermisu.

Razumevanjem kože u celini se bavi dermatologija pa rešenje možemo pronaći kod specijaliste dermatovenerologije u AB Medical Poliklinici.

Budite sigurni sa AB Medical timom.

Zakažite online






    Budite U Toku Sa Novim Ponudama

    saznajte prvi o aktuelnim akcijama